![]() |
PROTA4U Record display |
PROTA4U Homepage
|
| Suppl. pl.: 302 (1782). | |||
| show more data (10) | comments (0) |
| Clusiaceae (Guttiferae) | |||
| show more data (18) | comments (0) |
| Symphonia gabonensis (Vesque) Pierre (1896), | |||
| show more data (19) | comments (0) |
| Boarwood, hog gum, chew stick (En). Manil marécage, mani (Fr). Mundela, óleo barão (Po). Mziwaziwa (Sw). | |||
| show more data (16) | comments (0) |
| Symphonia globulifera has a remarkable distribution, occurring naturally in the rainforest of tropical America and Africa. In tropical America it occurs from Mexico to Brazil and Peru and in tropical Africa from Guinea Bissau to Tanzania, western Zambia and Angola, possibly also in Madagascar. Marine dispersal of whole trunks has been postulated as the most plausible cause of the present distribution. It is supported by the observations that it is common along rivers and propagates vegetatively in open habitats. Distribution through dispersal of seed by sea is unlikely as the seeds do not survive desiccation or prolonged immersion in seawater. Seeds also pass through the digestive tracts of animals too fast to allow them to cross the Atlantic Ocean. | |||
| show more data (66) | comments (0) |
| The wood of Symphonia globulifera called ‘manil’, ‘manni’, ‘ossol’ (Gabon) or ‘boarwood’ in international trade, is a general purpose timber used in construction, flooring and carpentry and for railway sleepers, boxes, crates, cooperage and sport articles, and traditionally to make tool handles and canoes. It is suitable for making plywood. The bark gum, called ‘hog gum’, ‘mani wax’ or ‘karamani wax’, is insoluble in water and serves as glue, e.g. for joining wood, fixing tool handles, and to caulk boats and calabashes. It is also used to make torches and candles. In Guyana an ammonia-soluble dye is prepared from it, which is used to give leather a rich brown colour. In Ghana a tonic prepared from the bark is taken as appetizer and stomachic, and an extract of the bark is used to treat river blindness. Boiled bark and roots are used as a wash to treat itch, and the resin is used to treat wounds and prevent skin infections. The bark and heartwood are used in Cameroon as laxative for pregnant women and as a general tonic. In Gabon the bark is used as an emetic to treat chest complaints and the gum is applied against scabies. In Uganda the bark is used to treat cough in children. The gum is taken internally in Nigeria to treat gonorrhoea and as a diuretic. In DR Congo sap from the leaves is sniffed up the nose to stop it bleeding. Because of its attractive red flowers Symphonia globulifera may be grown as an ornamental tree. | |||
| show more data (7) | comments (0) |
| Most Symphonia globulifera timber in international trade originates from tropical America; quantities exported from Africa are much smaller. No import/export statistics are available. Sometimes the timber is traded mixed with that of Afzelia spp. | |||
| show more data (0) | comments (0) |
| The heartwood is buff-brown with shades of yellow, rose or orange, and distinctly demarcated from the grey-yellow, 2–5 cm wide sapwood. The grain is generally straight, sometimes interlocked, texture medium to coarse. The wood has medium lustre and a mealy appearance, with conspicuous lines and arches on the radial surface and mottling on the tangential surface. The wood is classified as medium-weight to moderately heavy. The density is 530–720(–750) kg/m³ at 12% moisture content. The shrinkage rates are high, from green to oven dry 4.8–6.6% radial, 9.7–10.7% tangential. The wood dries moderately rapidly, with high risk of distortion and checking. Air drying under cover and end coating are recommended. Once dry, the wood is poorly stable in service. At 12% moisture content, modulus of rupture is 82–181 N/mm², modulus of elasticity 12,500–18,400 N/mm², compression parallel to grain 42–67 N/mm², shear 7–10 N/mm², cleavage 15–17 N/mm, Janka side hardness 4400–5040 N and Janka end hardness 5640 N. Workability is good with both hand and machine tools; ordinary sawteeth and cutting tools can be used. The nail- and screw-holding capacity is good, but pre-boring is necessary. The wood can be glued well with most glues. It can be rotary-cut for veneer and is suitable for exterior and interior layers of plywood. The wood is moderately durable, but should not be used in contact with the ground under prolonged wet conditions. It is susceptible to termite attack. Treating with preservatives is difficult. The wood contains 47–52% cellulose, 24% lignin and 17–20% pentosan. The energy value of dry wood is 18,450 kJ/kg. Poly-isoprenylated benzophenone derivatives (guttiferones A–D) have been isolated from the roots. These compounds showed HIV-inhibitory effects in cell cultures. The root bark contains prenylated xanthones (globulixanthones A–E), which showed cytotoxicity in cancer cell lines. | |||
| show more data (7) | comments (0) |
| Evergreen medium-sized tree up to 25(–40) m tall, with sticky, yellowish latex, glabrous; bole straight, cylindrical, branchless for up to 21 m, up to 80(–100) cm in diameter, without buttresses but with stilt roots or pneumatophores in swampy localities; bark buff to greenish yellow or grey-brown, smooth or vertically fissured or with lenticels in vertical rows, 5–8(–15) mm thick; crown rounded, with numerous horizontal, opposite branches. Leaves opposite, simple and entire; stipules absent; petiole 0.5–2 cm long, channelled above, finely transversely wrinkled; blade elliptical to lanceolate, 5–12.5 cm × 1–5 cm, base cuneate, apex obtusely acuminate, leathery, mostly dark glossy green, with closely parallel secondary venation. Inflorescence a sessile, umbel-like, many-flowered cyme, terminal on short lateral branches. Flowers bisexual, regular, 5-merous; pedicel 0.5–2.5 cm long, longer in fruit; sepals circular, kidney-shaped or ovate, 2–5 mm × 2.5–7 mm; petals circular, 0.5–1.5 cm × 1.5–2 cm, crimson or scarlet, waxy; disk cupule-like, 5-angled, 1.5–4 mm thick, margin entire or undulate, persistent; stamens in 5 groups of 3–4, basally merged into a 3.5–10 mm long tube, with an outer whorl of staminodes; ovary superior, ovoid, 5-celled, styles 5, fused at base, spreading or recurved. Fruit a broadly ellipsoid or globose berry 1.5–4.5 cm × 2–3.5 cm, finely warty, with copious yellow fluid turning brown on exposure, 1–3-seeded. Seeds compressed ovoid, 1.5–2 cm × 1–1.5 cm, testa tin, marbled. Seedling with hypogeal germination and thickened hypocotyl. | |||
| show more data (8) | comments (0) |
| Symphonia comprises about 20 species, all except Symphonia globulifera confined to Madagascar. | |||
| show more data (3) | comments (0) |
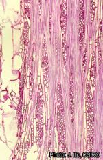
| Wood-anatomical description (IAWA hardwood codes): Growth rings: 2: growth ring boundaries indistinct or absent. Vessels: 5: wood diffuse-porous; 13: simple perforation plates; 22: intervessel pits alternate; (23: shape of alternate pits polygonal); (26: intervessel pits medium (7–10 μm)); 27: intervessel pits large (≥ 10 μm); (30: vessel-ray pits with distinct borders; similar to intervessel pits in size and shape throughout the ray cell); 31: vessel-ray pits with much reduced borders to apparently simple: pits rounded or angular; 43: mean tangential diameter of vessel lumina ≥ 200 μm; 46: ≤ 5 vessels per square millimetre; (47: 5–20 vessels per square millimetre); 56: tyloses common; (58: gums and other deposits in heartwood vessels). Tracheids and fibres: 61: fibres with simple to minutely bordered pits; 66: non-septate fibres present; 70: fibres very thick-walled. Axial parenchyma: 80: axial parenchyma aliform; 82: axial parenchyma winged-aliform; 83: axial parenchyma confluent; (85: axial parenchyma bands more than three cells wide); (86: axial parenchyma in narrow bands or lines up to three cells wide); 92: four (3–4) cells per parenchyma strand; 93: eight (5–8) cells per parenchyma strand. Rays: 97: ray width 1–3 cells; 104: all ray cells procumbent; (106: body ray cells procumbent with one row of upright and/or square marginal cells); 115: 4–12 rays per mm. Mineral inclusions: 136: prismatic crystals present; 141: prismatic crystals in non-chambered axial parenchyma cells; (142: prismatic crystals in chambered axial parenchyma cells). (E. Ebanyenle, A.A. Oteng-Amoako & P. Baas) | |||
| show more data (0) | comments (0) |
| Multiplication of Symphonia globulifera in open locations is by root suckers, in forest by seed. Seedlings are shade tolerant, but at later stages more light is needed. Growth follows Massart’s architectural model with an orthotropic trunk with rhythmic growth and branching; the plagiotropic branches also grow rhythmically. Early growth is slow, about 15 cm/year. Branching starts when the stem is 30–40 cm long. Individual trees may flower for almost 2 months. They are very conspicuous in flower. Pollination is effected by birds (in Africa by sun birds) and various insects such as wasps, bees and butterflies. Fruiting is most abundant during the dry season. The seeds are dispersed by small mammals, e.g. monkeys, which relish the fruits. In regularly flooded locations Symphonia globulifera often develops stilt roots and pneumatophores. | |||
| show more data (0) | comments (0) |
| Symphonia globulifera is a species of evergreen mixed humid forest or freshwater swamp forest with an average rainfall of 650–2100 mm and 23–27°C mean annual temperature. It occurs from sea-level up to 2600 m altitude in East Africa. It also occurs at inner edges of mangroves that are only occasionally flooded with salt water. | |||
| show more data (18) | comments (0) |
| Fresh seed germinates best at 25–30°C, under natural conditions within one month, but it dies quickly upon dehydration. All seeds die below 12°C. Germinated seeds can be stored at 15°C under humid conditions for about a year and seedlings kept at this temperature develop slowly but resume normal growth when transferred to 25°C. Seed requires shade for germination and in closed forest propagation is by seed only; in open areas propagation is exclusively by root suckers. In Gabon it was found that natural regeneration in undisturbed forest is good, but regeneration in exploited forest is much less. However, Symphonia globulifera shows adequate regeneration under the pioneer species that appear after exploitation. | |||
| show more data (3) | comments (0) |
| The survival rate in plantations may be over 80%, but early growth is slow. In a forest improvement trial at 2000 m altitude in Rwanda surviving Symphonia globulifera showed a diameter growth of 0.8 cm/year and length growth of 0.7 m/year and good bole form 32 years after planting. | |||
| show more data (0) | comments (0) |
| Freshly cut logs are very susceptible to bark beetles (Platypodinae and Scolytinae) and need to be processed quickly. | |||
| show more data (0) | comments (0) |
| Logs are felled when they are 50–80 cm in diameter. The exuded gum is usually collected from the base of the tree in the form of lumps. | |||
| show more data (0) | comments (0) |
| Little information on yield is available from Africa. In western Gabon only 0.5 m³/ha of Symphonia globulifera timber has been recorded, but in Guyana the forest contains on average 2–3 m³/ha of harvestable timber (above 40 cm log diameter). | |||
| show more data (0) | comments (0) |
| Freshly harvested logs may sink in water and then cannot be transported by river. However, the density of freshly cut logs in Gabon is reportedly 800–950 kg/m³, which implies that they float in water. | |||
| show more data (0) | comments (0) |
| Symphonia globulifera is widespread and locally common with good regeneration, and does not seem to be in danger of genetic erosion. | |||
| show more data (0) | comments (0) |
| Symphonia globulifera is poorly known as a timber in tropical Africa. It may become more important as a market already exists. It may be useful for planting to protect watershed areas, swamps and river banks. | |||
| show more data (0) | comments (0) |
| • Bamps, P., Robson, N. & Verdcourt, B., 1978. Guttiferae. In: Polhill, R.M. (Editor). Flora of Tropical East Africa. Crown Agents for Oversea Governments and Administrations, London, United Kingdom. 34 pp. • Burkill, H.M., 1994. The useful plants of West Tropical Africa. 2nd Edition. Volume 2, Families E–I. Royal Botanic Gardens, Kew, Richmond, United Kingdom. 636 pp. • CAB International, 2005. Forestry Compendium. Symphonia globulifera. [Internet] http://www.cabicompendium.org/ fc/datasheet.asp?ccode=sym1g1&country=0. Accessed June 2005. • CIRAD-Forêt, 1999. Fiches techniques sur quelques bois guyanais: Manil marécage. Bois et Forêts des Tropiques 232: 49–52. • CIRAD Forestry Department, 2003. Manil. [Internet] Tropix 5.0. http://tropix.cirad.fr/ ame/manil.pdf. Accessed March 2005. • de Saint-Aubin, G., 1963. La forêt du Gabon. Publication No 21 du Centre Technique Forestier Tropical, Nogent-sur-Marne, France. 208 pp. • Forest Product Laboratory, 1999. Wood handbook - Wood as an engineering material. General Technical Report FPL–GTR–113. USDA, Forest Division, Madison WI, United States. 463 pp. [Internet] http://www.fpl.fs.fed.us/documnts/fplgtr/fplgtr113/fplgtr113.htm. Accessed March 2005. • Katende, A.B., Birnie, A. & Tengnäs, B., 1995. Useful trees and shrubs for Uganda: identification, propagation and management for agricultural and pastoral communities. Technical Handbook 10. Regional Soil Conservation Unit, Nairobi, Kenya. 710 pp. • Richter, H.G. & Dallwitz, M.J., 2000. Commercial timbers: descriptions, illustrations, identification, and information retrieval. [Internet]. Version 18th October 2002. http://delta-intkey.com/wood/index.htm. Accessed June 2005. | |||
| show more data (65) | comments (0) |
| • Abbiw, D.K., 1990. Useful plants of Ghana: West African uses of wild and cultivated plants. Intermediate Technology Publications, London and Royal Botanic Gardens, Kew, Richmond, United Kingdom. 337 pp. • Aldrich, P.R. & Hamrick, J.L., 1998. Reproductive dominance of pasture trees in a fragmented tropical forest mosaic. Science 281: 103–105. • Bamps, P., 1970. Guttiferae (Clusiaceae). In: Boutique, R. (Editor). Flore du Congo belge et du Ruanda-Urundi. Spermatophytes. Jardin botanique national de Belgique, Brussels, Belgium. 74 pp. • Bayma, J.C., Arruda, M.S. & Neto, M., 1998. A prenylated xanthone from the bark of Symphonia globulifera. Phytochemistry 49: 1159–1160. • Bras, P. & Maury-Lechon, G., 1986. Graines forestières tropicales de type fortement hydraté: La conservation et ses effets, exemple du Symphonia globulifera L.f. de Guyana Française. Bois et Forêts des Tropiques 212: 35–46. • Chapoulet, C. & Perrier, M., 2001. Etude des stratégies de développement de jeunes plantes de Symphonia globulifera dans différents milieux. Projet de 2ème année, encadrants Grosfeld, J. & Prevost, M.F. ENGREF, Montpellier, France. 13 pp. • Croptier, S. & Kucera, L.J., 1990. Description anatomique de 20 espèces ligneuses croissant au Rwanda. ISAR, Butare, Rwanda. 21 pp. • Dick, C.W., Kobinah, A.S. & Bermingham, E., 2003. Molecular systematic analysis reveals cryptic tertiary diversification of a widespread tropical rainforest tree. American Naturalist 162(6): 691–703. • Fournier, L.A., 2002. Symphonia globulifera L.f. In: Vozzo, J.A. (Editor). Tropical tree seed manual. USDA, Forest Service Publication, s.l., United States. pp. 732–733. [Internet] http://www.rngr.net/Publications/ttsm/. Accessed March 2005. • InsideWood, undated. [Internet] http://insidewood.lib.ncsu.edu/search/. Accessed May 2007. • Kabera, I., 1987. Comportement des essences autochtones introduites a Rutovu (32 ans apres la mise en place). Note Technique No 1. Institut des Sciences Agronomiques du Rwanda (ISAR), Butare, Rwanda. 20 pp. • Keay, R.W.J., 1954. Guttiferae. In: Keay, R.W.J. (Editor). Flora of West Tropical Africa. Volume 1, part 1. 2nd Edition. Crown Agents for Oversea Governments and Administrations, London, United Kingdom. pp. 290–295. • Lovett, J.C., Ruffo, C.K. & Gereau, R.E., 2003. Field guide to the moist forest trees of Tanzania. [Internet] Centre for Ecology Law and Policy, Environment Department, University of York, York, United Kingdom. http://www.york.ac.uk/ res/celp/webpages/projects/ecology/ tree%20guide/guide.htm. Accessed March 2005. • Nkengfack, A.E., Mkounga, P., Fomum, Z.T., Meyer, M. & Bodo, B., 2002. Globulixanthones A and B, two new cytotoxic xanthones with isoprenoid groups from the root bark of Symphonia globulifera. Journal of Natural Products 65: 734–736. • Nkengfack, A.E., Mkounga, P., Meyer, M., Fomum, Z.T. & Bodo, B., 2002. Globulixanthones C, D and E: three prenylated xanthones with antimicrobial properties from the root bark of Symphonia globulifera. Phytochemistry 51: 181–187. • Robson, N.K.B., 1961. Guttiferae (incl. Hypericaceae). In: Exell, A.W. & Wild, H. (Editors). Flora Zambesiaca. Volume 1, part 2. Crown Agents for Oversea Governments and Administrations, London, United Kingdom. pp. 378–404. • Takahashi, A., 1978. Compilation of data on the mechanical properties of foreign woods (part 3) Africa. Shimane University, Matsue, Japan, 248 pp. • White, L. & Abernethy, K., 1997. A guide to the vegetation of the Lopé Reserve, Gabon. 2nd edition. Wildlife Conservation Society, New York, United States. 224 pp. • Wilks, C. & Issembé, Y., 2000. Les arbres de la Guinée Equatoriale: Guide pratique d’identification: région continentale. Projet CUREF, Bata, Guinée Equatoriale. 546 pp. | |||
| show more data (26) | comments (0) |
| show more data (6) | comments (0) |
| • Bamps, P., Robson, N. & Verdcourt, B., 1978. Guttiferae. In: Polhill, R.M. (Editor). Flora of Tropical East Africa. Crown Agents for Oversea Governments and Administrations, London, United Kingdom. 34 pp. • Wilks, C. & Issembé, Y., 2000. Les arbres de la Guinée Equatoriale: Guide pratique d’identification: région continentale. Projet CUREF, Bata, Guinée Equatoriale. 546 pp. | |||
| show more data (1) | comments (0) |
| |||||
| |||||||||
| |||||||||
| |||||
| Oyen, L.P.A., 2005. Symphonia globulifera L.f. [Internet] Record from PROTA4U. Louppe, D., Oteng-Amoako, A.A. & Brink, M. (Editors). PROTA (Plant Resources of Tropical Africa / Ressources végétales de l’Afrique tropicale), Wageningen, Netherlands. <http://www.prota4u.org/search.asp>. Accessed . | |||
| There are 12 study abstracts related to Symphonia globulifera L.f.. Click on "show more" to view them. | ||
| show more data | comments (0) |
| There are 200 book citations related to Symphonia globulifera L.f.. Click on "show more" to view them. | ||
| show more data | comments (0) |
| There are 154 citation in web searches related to Symphonia globulifera L.f.. Click on "show more" to view them. | ||
| show more data | comments (0) |
| There are 93 citation in scholarly articles related to Symphonia globulifera L.f.. Click on "show more" to view them. | ||
| show more data | comments (0) |
| There are 24 news article citations related to Symphonia globulifera L.f.. Click on "show more" to view them. | ||
| show more data | comments (0) |
| There are 21 citations in Afrirefs related to Symphonia globulifera L.f.. Click on "show more" to view them. | ||
| show more data | comments (0) |
| There are 13 Wikipedia citations related to Symphonia globulifera L.f.. Click on "show more" to view them. | ||
| show more data | comments (0) |
| General importance | ![]() |
| Geographic coverage Africa | ![]() |
| Geographic coverage World | ![]() |
| Ornamental use | ![]() |
| Timber use | ![]() |
| Fuel use | ![]() |
| Medicinal use | ![]() |
| Essential oil and exudate use | ![]() |
